服务介绍
细胞稳定转染株构建
本公司构建稳定细胞系的基本原理是将外源DNA克隆到具有某种抗性的载体上,载体被转染到宿主细胞并整合到宿主染色体中,用载体中所含的抗性标志进行筛选,常用的真核表达载体的抗性筛选标志物有新霉素(neomycin)、潮霉素(hygromycin)和嘌呤霉素(puromycin),常用G418来代替新霉素进行选择性筛选,筛选得到可稳定表达目的蛋白,或者稳定表达沉默特定基因的细胞株。
我们有着多年构建稳转细胞株的经验,已在H1299、THP-1、MCF7/ADR、A549、V79、MC3T3-E1、CHO、SiHa、3D4/2、HL7702、SW480、HepG2、SGC-7901、MGC-803、HT-29、Saos-2、U-2os、PC12、SK-BR-3、MCF-7、HMSC-ad 、GIST-T1、HEK293、293T等多个种属细胞中成功构建过表达和RNAi稳转细胞株。
服务内容
1.载体构建:将外源基因构建到合适的载体上,如需病毒转染,则包装病毒;
2. 筛选浓度测定:以 10-14 天细胞全部死亡的抗生素浓度为筛选浓度;
3. 细胞接种:转染实验前天接种细胞,各种细胞的平板密度依据各种细胞的生长率和细胞形状而定。进行转染当天细胞应达到 60%-80% 覆盖;
4. 细胞转染:用构建好的载体(或包装好的病毒)转染目的细胞;
5. 抗生素筛选;
6. 鉴定筛选结果。

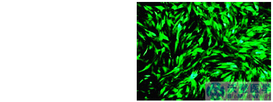
HMSC-ad稳转细胞株
服务说明
1. 客户提供:待处理细胞株(如需公司提供请说明);
2.构建质粒(可选,需另付费),合成siRNA等(可选,需另付费);
3. 实验周期:1-2个月;
4. 若另有疑问欢迎向本公司咨询,我们将竭诚为您服务。
质量承诺
1. 稳定转染的细胞系;
2.权威的实验报告;
3. 详细的实验步骤;
4. 真实的原始实验数据。
